Which pathology is consistent with the left ventricular strain pattern shown in this image?

Which adjustment is most likely to improve image quality from the suprasternal long axis window?
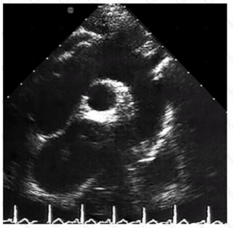
Which diagnosis is most likely confirmed by echocardiography in a 65-year-old female presenting with new onset chest pain associated with ST segment elevation on the electrocardiogram and angiographically normal coronary artenes?
Which of the following can be calculated from the peak tricuspid regurgitant velocity?
Which method of measuring left atrial size is most recommended and most accurate?
The sonographer obtains this Doppler signal while using the non-imaging transducer in the apical position. What is the best way to differentiate between mitral regurgitation and aortic stenosis signals in the waveform shown in this image?

Which patient body positioning and respiration technique is optimal for obtaining the subcostal view?
How must the sonographer angle the transducer from the apical four-chamber view in order to visualize the aortic valve in the apical five-chamber view?
Which is most likely the culprit coronary artery in a patient who presents with anteroseptal hypokinesis?
What potential source of error is the greatest when calculating the aortic valve area by the continuity equation?
Mid to distal septal akinesis in post-stress imaging of the apical four-chamber view is suggestive of disease in which coronary artery?
Which patient positioning is best for obtaining the waveform seen in this image obtained by a non-imaging transducer?

The variables necessary to calculate mitral regurgitant (MR) effective orifice area by the proximal isovelocity surface area (PISA) equation include MR aliasing hemispheric radius, the aliasing velocity, and which other parameter?
A mitral valve pressure half-time of 220 ms is consistent with what mitral valve area?
Identify the right pulmonary artery.
Using your mouse, place the cursor on the appropriate region of the image and then left click the mouse button to indicate your selection.

Which mitral regurgitation jet direction is most consistent with hypertrophic obstructive cardiomyopathy?
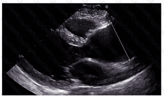
Which region of the aorta is being measured to assess the critical finding in this image?

Which sonographic views allow visualization of a patent ductus arteriosus (PDA)?
An intravenous drug user presents with a fever of unknown origin, flu-like symptoms, dyspnea, and chest pain. Which ultrasound finding is mostly likely associated with this presentation?
The parasternal long axis view can be used to visualize which anatomical structure?